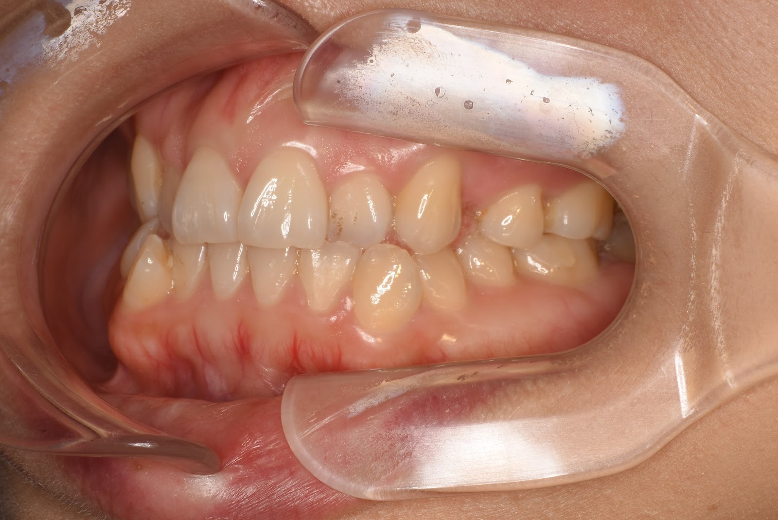
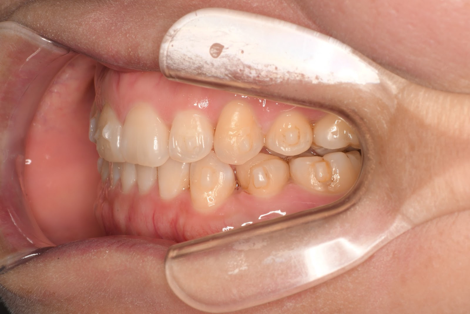
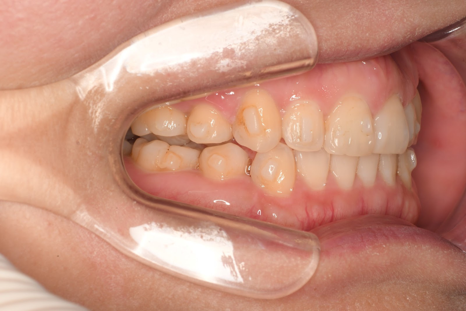
便宜抜歯した後で、上と下の歯の本数が違い、バランスがよくない。マウスピース矯正にて治療

Before

After

Before

After
当院では患者さまの歯並びや噛み合わせ、口元に関するお悩みを事前にオンラインでお聞きし、その原因や対処法を丁寧に分かりやすくご説明します。
初回診療をオンラインでできるため、スピーディーかつお気軽にご相談いただくことが可能です。
アクセス
〒464-0808
愛知県名古屋市千種区星が丘山手911番地
サンホシガオカ 1階B号室
名古屋市営地下鉄東山線 星ヶ丘駅 徒歩1分
クレジットカード(Visa・Mastercard・American Express・JCB・Diners Club)、PayPay、デンタルローンに対応しています。