症例

Case

インビザライン矯正

女性

Before

After

治療期間
2022.3.22set→(治療途中)
費用総額
880,000円(税込)

症例

抜歯して治療期間を短くするか、期間はかかるけど、非抜歯で治すケース。患者さんも20代とまだ若いため、非抜歯ケースを勧めました。非抜歯でマウスピース矯正で治す症例

診断

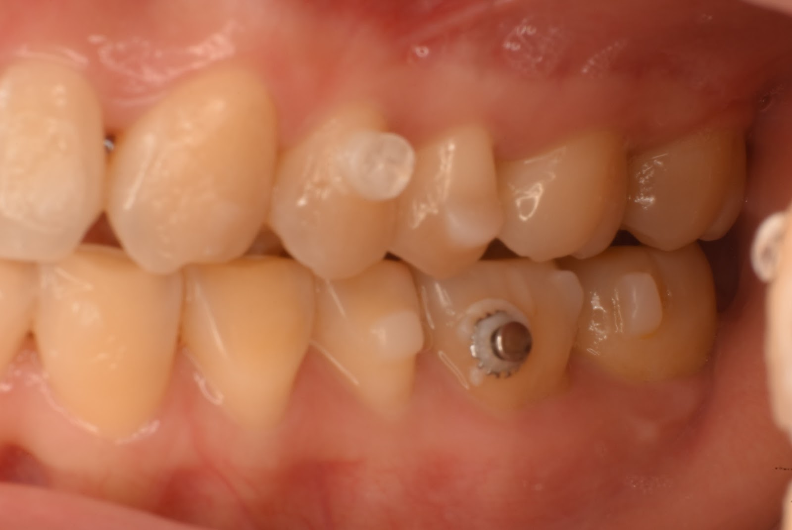
Before

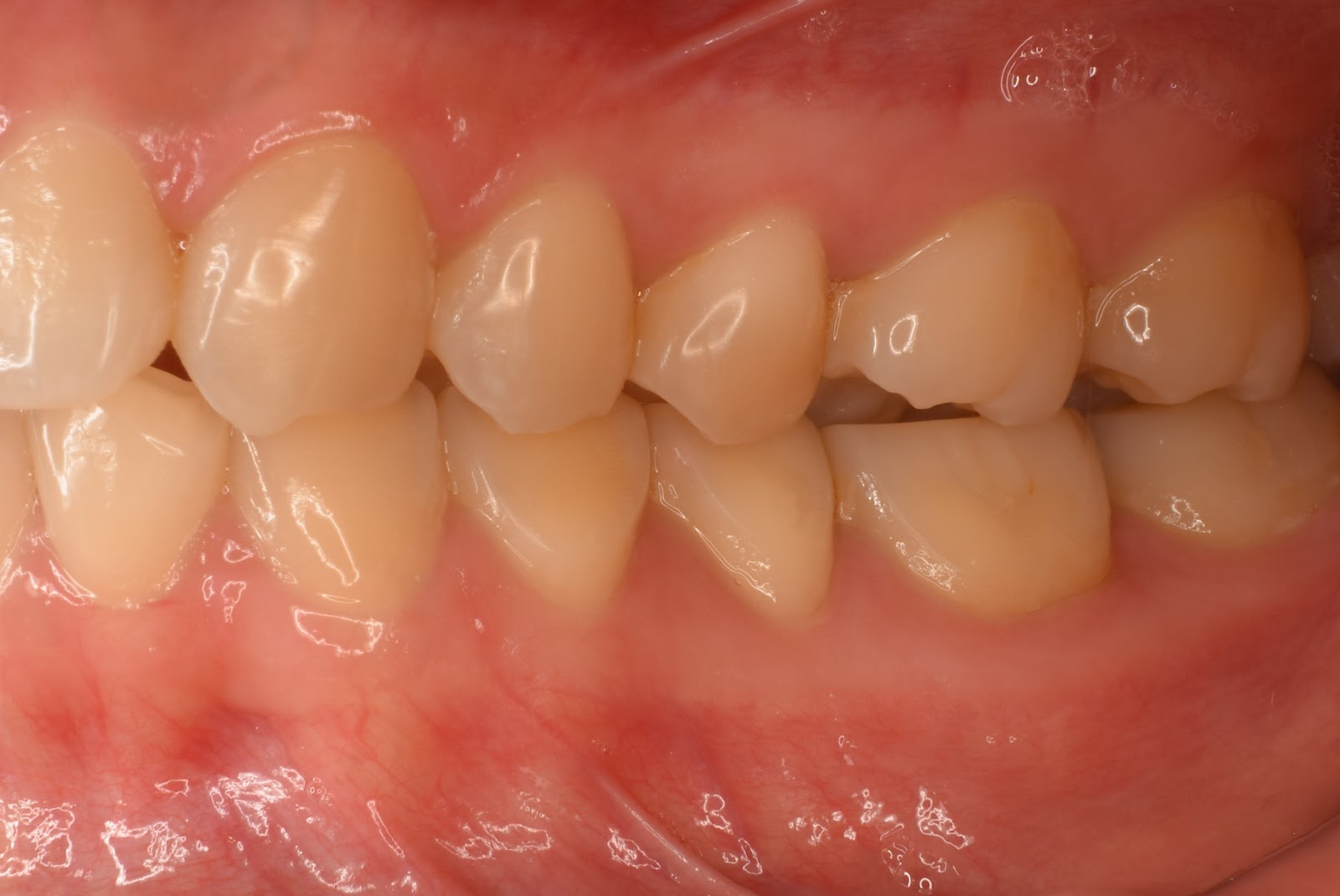
After

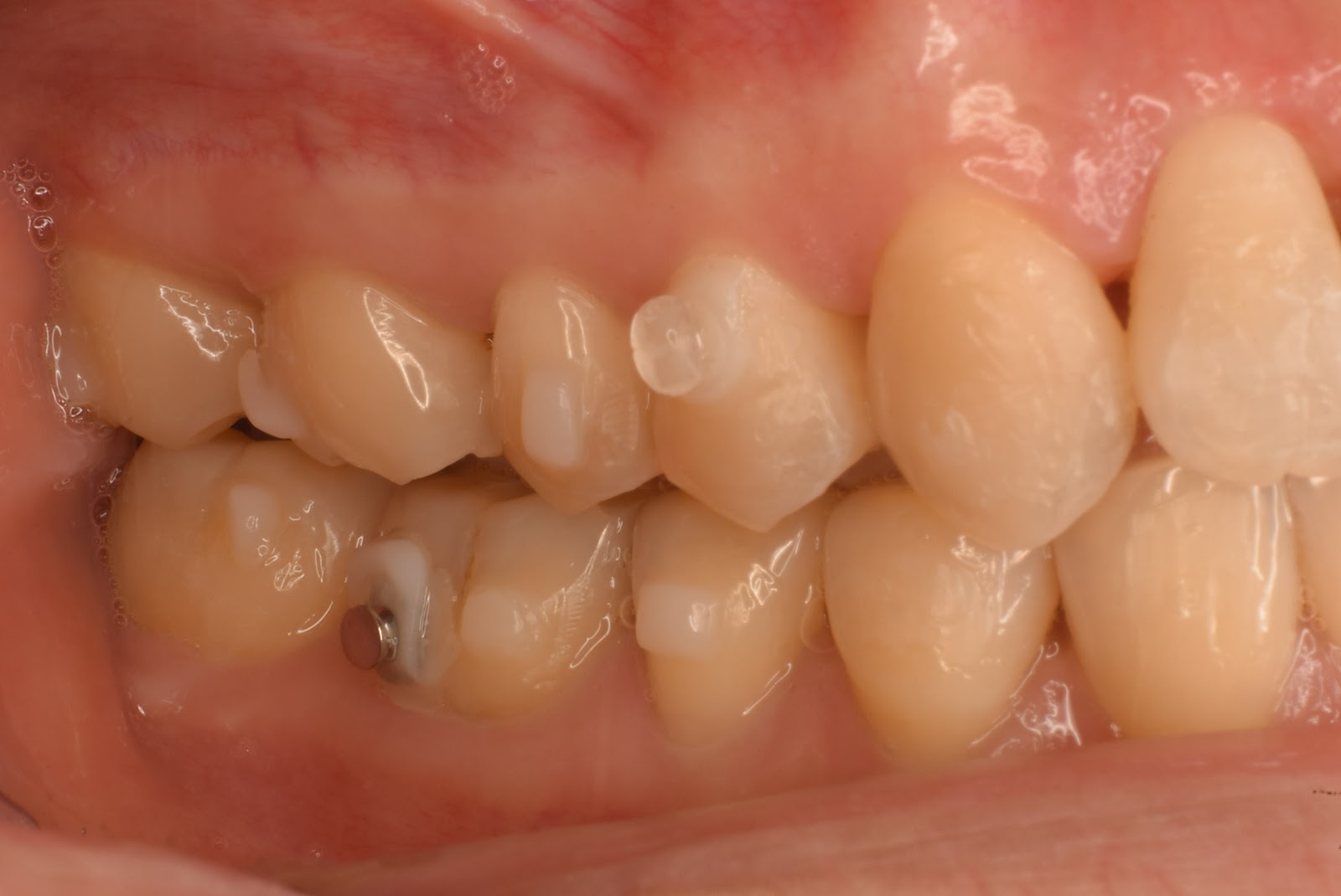
Before

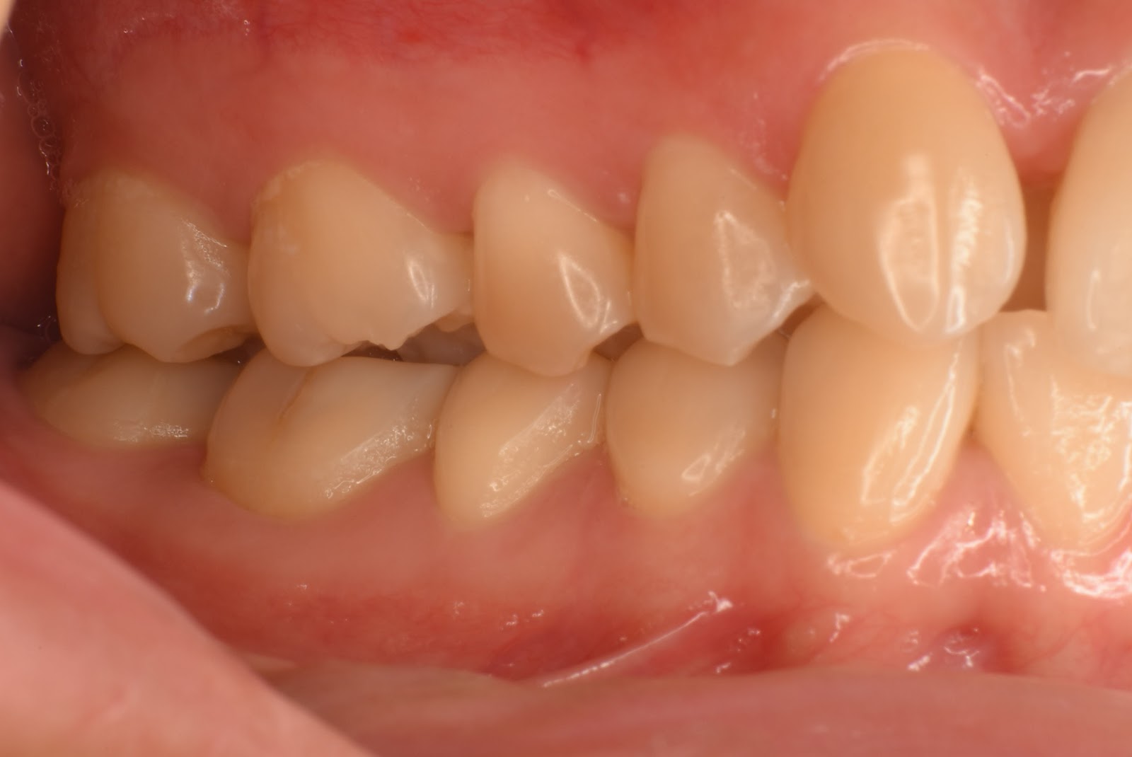
After

上の前歯が一本内側に入っているのが気になる。磨きにくい。全体的に歯のすり減りも気になっている。

この症例に使用した装置と費用

費用
880,000円(税込)

ご相談・ご予約はこちら

初めての方へ

当院では患者さまの歯並びや噛み合わせ、口元に関するお悩みを事前にオンラインでお聞きし、その原因や対処法を丁寧に分かりやすくご説明します。

初回診療をオンラインでできるため、スピーディーかつお気軽にご相談いただくことが可能です。

初めての方はこちら

アクセス

Access

アクセス

〒464-0808
愛知県名古屋市千種区星が丘山手911番地
サンホシガオカ 1階B号室

名古屋市営地下鉄東山線 星ヶ丘駅 徒歩1分

各種お支払い対応

クレジットカード(Visa・Mastercard・American Express・JCB・Diners Club)、PayPay、デンタルローンに対応しています。