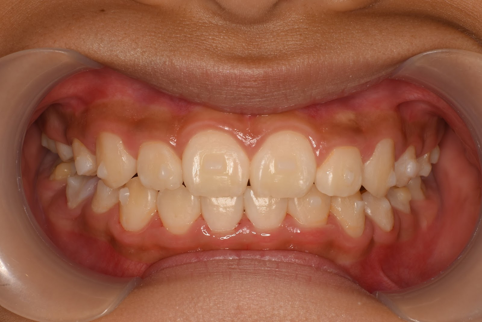
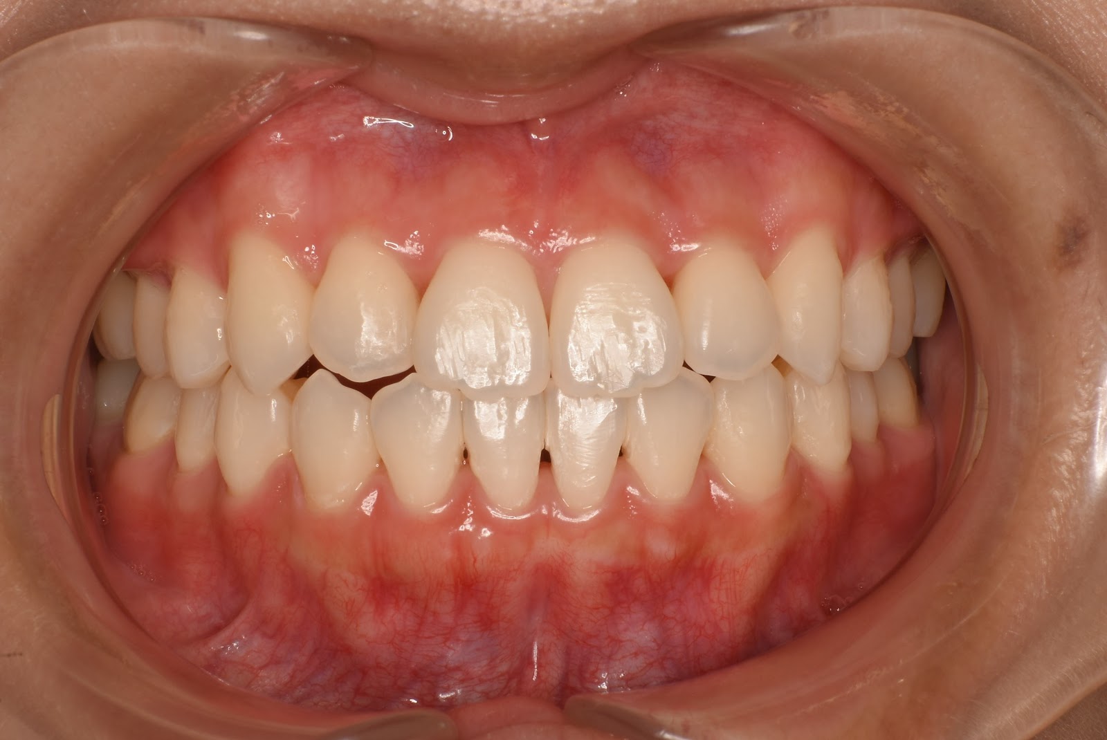
症例

Case

インプラント

before

after

治療期間
11ヶ月 (7回)
費用総額
946,000円(税込)
詳細へ

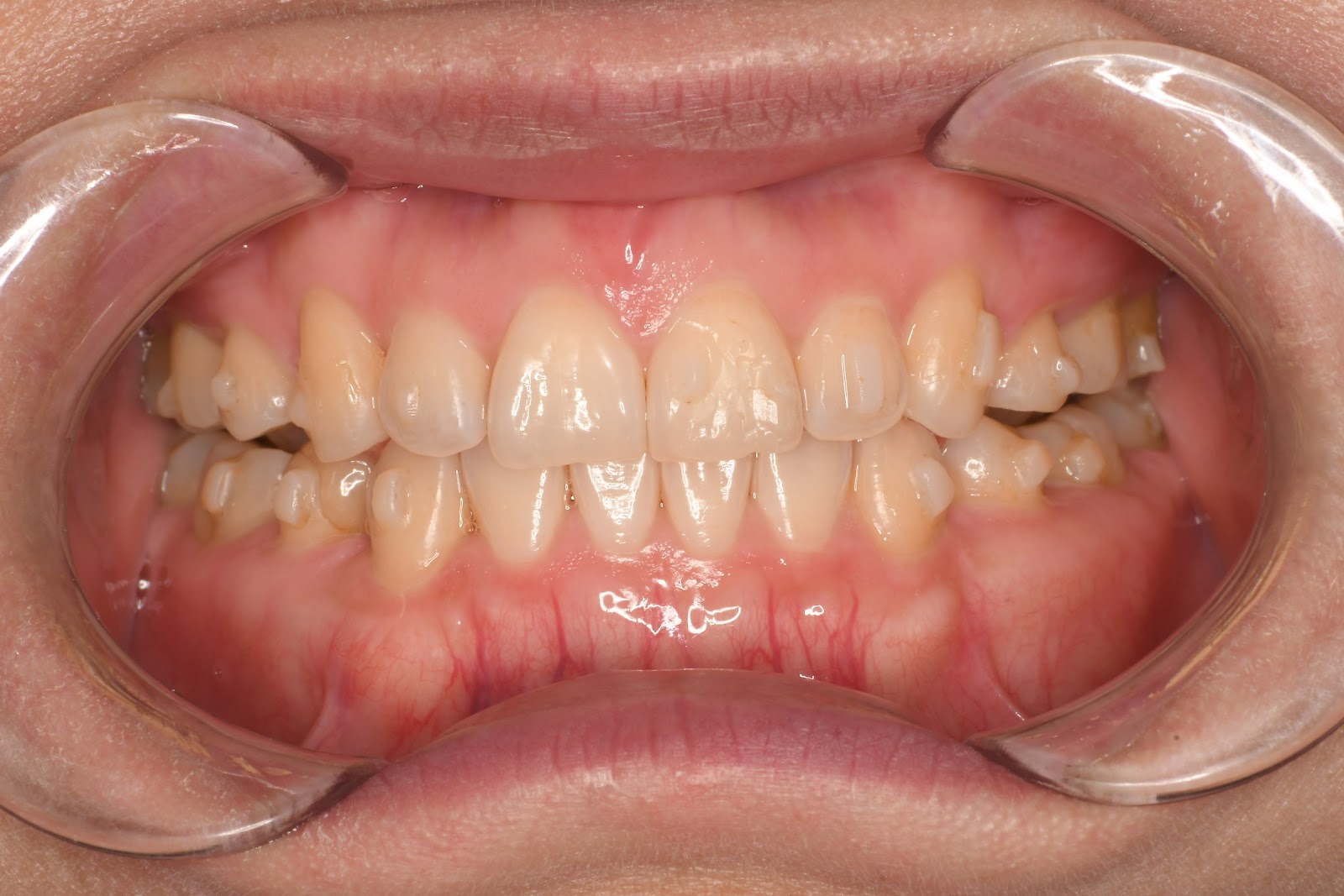
CADCAM

before

after

治療期間
9か月 (15回)
費用総額
52,920円(税込)
詳細へ

ホワイトニング

before

after

治療期間
2週間 (2回)
費用総額
11,000円(税込)
詳細へ

セラミック

before

after

治療期間
2週間(2回)
費用総額
660,000円(税込)
詳細へ

矯正インプラント補綴

before

after

治療期間
約2年(18回)
費用総額
1,452,000円(税込)
詳細へ

矯正、ブラックトライアングルCR

before

after

治療期間
約2年6ヶ月 (20回)
費用総額
440,000円(税込)
詳細へ

上顎ボーンアンカートブリッジ

before

after

治療期間
約1年 (20回)
費用総額
3,839,000円(税込)
詳細へ

インビザフル

before

after

治療期間
約3年(26回)
費用総額
880,000円(税込)
詳細へ

矯正 インビザラインフル

before

after

治療期間
2021.4.8set→現在ラスト追加アライナー開始前
費用総額
880,000円(税込)
詳細へ

矯正 インビザライン ファースト

before

after

治療期間
1年半(18回)
費用総額
440,000円(税込)
詳細へ

インビザライン矯正

before

after

治療期間
2022.4.7set→治療途中
費用総額
880,000円(税込)
詳細へ

インビザライン矯正

before

after

治療期間
2021.2.4set→治療途中
費用総額
880,000円(税込)
詳細へ

インビザライン矯正

before

after

治療期間
1年10か月(24回)
費用総額
440,000円(税込)
詳細へ

インビザライン矯正

before

after

治療期間
2021.9.1開始〜2023.12終了予定 2年経過 治療途中
費用総額
660,000円(税込)
詳細へ

ご相談・ご予約はこちら

初めての方へ

当院では患者さまの歯並びや噛み合わせ、口元に関するお悩みを事前にオンラインでお聞きし、その原因や対処法を丁寧に分かりやすくご説明します。

初回診療をオンラインでできるため、スピーディーかつお気軽にご相談いただくことが可能です。

初めての方はこちら

アクセス

Access

アクセス

〒464-0808
愛知県名古屋市千種区星が丘山手911番地
サンホシガオカ 1階B号室

名古屋市営地下鉄東山線 星ヶ丘駅 徒歩1分

各種お支払い対応

クレジットカード(Visa・Mastercard・American Express・JCB・Diners Club)、PayPay、デンタルローンに対応しています。